Das Herz ist der Motor unseres Lebens – steht er dauerhaft still, ist das Leben vorbei. Deshalb haben viele Menschen große Angst vor Herzerkrankungen und vor OPs, die in deren Folge notwendig werden könnten. Doch die gefürchteten, früher sehr riskanten Operationen am offenen Herzen, bei denen Patienten an eine Herz-Lungen-Maschine angeschlossen werden, sind immer seltener notwendig. Sie finden vor allem noch statt, wenn in schweren Fällen der koronaren Herzkrankheit gleich mehrere Koronargefäße stark verengt sind oder wenn Begleiterkrankungen wie schwere Herzklappenfehler oder eine Erweiterung der Hauptschlagader, ein sogenanntes Aortenaneurysma, vorliegen. In den meisten Fällen muss der Brustkorb jedoch für einen Eingriff am Herzen nicht mehr eröffnet werden.
Die interventionelle Kardiologie beschäftigt sich mit schonenden, minimal-invasiven Eingriffen am Herzen. Diese Eingriffe erfolgen ohne Öffnung des Brustkorbs und ermöglichen eine schnelle und sichere Behandlung von Herzkranzgefäßerkrankungen. Alle beschriebenen Maßnahmen können in unserer Praxis ambulant durchgeführt werden. Das bedeutet, dass Patienten bei uns nach dem Eingriff am selben Tag wieder nach Hause gehen können. Nur bei hochkomplexen Eingriffen erfolgt eine stationäre Überwachung für in der Regel eine Nacht.
Wenn das Herz nicht mehr ausreichend mit Blut versorgt wird, wird Betroffenen oft eng in der Brust. Herzrhythmusstörungen oder ein Herzinfarkt drohen. Der häufigste Grund für diese Mangelversorgung des Herzens ist die koronare Herzkrankheit (KHK), eine echte Volkskrankheit. Sie tritt mit steigendem Alter immer häufiger auf. Rund acht Prozent aller Deutschen sind betroffen. Deren Herzkranzgefäße, auch Koronararterien genannt, sind infolge einer Arteriosklerose verengt oder gar verschlossen.
Viele Formen der KHK, bei denen Symptome sich nur unter Belastung zeigen, lassen sich sicher und effektiv medikamentös behandeln. Bei Fortbestehen der Beschwerden oder wenn diese auch in Ruhe auftreten bzw. immer stärker werden, kann die koronare Herzkrankheit dank interventioneller Kardiologie effektiv und sicher behandelt werden.
Bei einem interventionellen Eingriff schieben wir einen dünnen, flexiblen Herzkatheter über ein Blutgefäß – überwiegend am Handgelenk oder in speziellen Situationen in der Leiste – bis zum Herzen vor. Durch diesen Katheter können Engstellen der Herzkranzgefäße dargestellt und direkt behandelt werden. Im Gegensatz zur operativen Herzchirurgie sind diese Verfahren weniger belastend, erfordern keine Vollnarkose und ermöglichen eine rasche Erholung. Ziel ist es, die Durchblutung des Herzmuskels wiederherzustellen, Beschwerden zu lindern und das Risiko eines Herzinfarktes zu reduzieren.
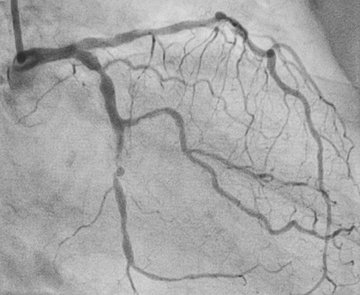
Ein verschlossenes Gefäß auf einem Röntgenbild
Um genaue Entscheidungen treffen zu können, nutzen wir neben einer Katheteranlage der neusten Generation in gezielten Fällen auch hochmoderne intravaskuläre Bildgebungsverfahren. Der intravaskuläre Ultraschall (IVUS) erlaubt eine detaillierte Darstellung der Gefäßwände und zeigt, wie stark eine Verengung tatsächlich ausgeprägt ist. Die optische Kohärenztomographie (OCT) arbeitet mit Licht anstatt mit Schall und liefert hochauflösende Bilder der Innenstruktur eines Gefäßes. Diese Verfahren ermöglichen uns eine präzise Beurteilung von Plaques und Verkalkungen und tragen entscheidend zu einer sicheren Planung und Durchführung der Behandlung bei.
Eine interventionelle Behandlung beginnt mit der Vorbereitung, in der der Patient überwacht und die Zugangsregion lokal betäubt wird. Anschließend erfolgt der Gefäßzugang über das Handgelenk oder die Leiste. Danach wird der Katheter vorsichtig bis zum Herzen geführt und Kontrastmittel verabreicht, um die Herzkranzgefäße sichtbar zu machen. Sobald eine Engstelle identifiziert wurde, wird ein dünner Führungsdraht durch diese Stelle vorgeschoben. Über diesen Draht kann der Arzt anschließend einen Ballonkatheter einführen und die Engstelle durch kontrolliertes Aufdehnen erweitern. In den meisten Fällen wird danach ein Stent eingesetzt, der das Gefäß dauerhaft offenhält. Abschließend wird das Ergebnis erneut bildgebend kontrolliert, bevor Katheter und Zugangsgeräte entfernt werden. Bei schwerwiegenderen Befunden, die nicht mittels Interventioneller Kardiologie behandelt werden können, überweisen wir unsere Patienten an eine renommierte Herzchirurgie der Region mit exzellenten Früh- und Langzeitresultaten.
Nicht jede Engstelle, die im Röntgen sichtbar ist, verursacht tatsächlich eine relevante Durchblutungsstörung. Die Druckdrahtmessung ermöglicht die funktionelle Einschätzung einer Engstelle. Bei der FFR-Messung wird ein spezieller Drucksensor-Draht über die Engstelle geführt und der Druckunterschied vor und hinter der Verengung gemessen. Dies geschieht unter maximaler Gefäßerweiterung, um die Bedeutung der Engstelle besser beurteilen zu können. Ein FFR-Wert von 0,80 oder kleiner zeigt an, dass die Engstelle den Blutfluss tatsächlich behindert und behandelt werden sollte. Die RFR-Messung verzichtet auf gefäßerweiternde Medikamente und misst den Druck während einer bestimmten Phase des Herzzyklus. Ein RFR-Wert von 0,89 oder kleiner gilt als behandlungsbedürftig. Beide Methoden helfen, nur jene Engstellen zu behandeln, die tatsächlich Beschwerden verursachen und die Herzfunktion gefährden.
Die intravaskuläre Lithotripsie ist eine besonders schonende und innovative Methode zur Behandlung stark verkalkter Herzkranzgefäße. Verkalkungen können die Gefäßwand so hart machen, dass herkömmliche Ballons oder Stents sich nicht ausreichend entfalten lassen. Die Lithotripsie nutzt gezielte akustische Druckimpulse, also Stoßwellen, die den harten Kalk in der Gefäßwand in kleine Fragmente aufbrechen, ohne die Gefäßstruktur zu schädigen. Dadurch wird das Gefäß wieder elastisch und kann anschließend problemlos erweitert und mit einem Stent versorgt werden. Der Eingriff beginnt wie eine herkömmliche Katheterbehandlung, indem ein Führungsdraht die Engstelle passiert. Anschließend wird ein spezieller Lithotripsie-Ballon an die betroffene Stelle geführt und leicht aufgepumpt. In mehreren kurzen Impulszyklen bricht der Ballon den Kalk auf. Nach der Lithotripsie kann das Gefäß mit einem Ballon aufgedehnt und ein Stent eingesetzt werden. Die Methode zeichnet sich durch hohe Sicherheit und Effektivität aus und eignet sich besonders für ältere Patientinnen und Patienten mit ausgeprägten Gefäßverkalkungen.
Nach einem interventionellen Eingriff folgt eine kurze Überwachungsphase, die ebenfalls ambulant möglich ist. In dieser Zeit werden Herzrhythmus, Blutdruck und die Punktionsstelle kontrolliert. Wenn der Zugang über das Handgelenk erfolgt ist, können Patienten oft schon nach kurzer Zeit aufstehen und sich normal bewegen. Für den langfristigen Behandlungserfolg ist eine konsequente Medikamenteneinnahme wichtig, vor allem blutverdünnende Medikamente zur Sicherung des Stents. Zusätzlich empfehlen wir regelmäßige Kontrolluntersuchungen, um das Ergebnis langfristig zu sichern und den Gesundheitszustand zu überprüfen.
Die ambulante Nachsorge ist ein zentraler Bestandteil unseres Behandlungskonzeptes. Direkt nach dem Eingriff erfolgt eine klinische Kontrolle in unserer Belegabteilung im Krankenhaus Landshut-Achdorf. So ist im unwahrscheinlichen Fall von Komplikationen vollumfängliche medizinische Notfallversorgung gewährleistet. Nach Ablauf der meist 4- bis 6-stündigen Überwachungszeit erfolgt eine abschließende Kontrolle in unserer Praxis (die sich räumlich an das KH Achdorf anschließt), einschließlich der Überprüfung der Punktionsstelle sowie einer EKG-Kontrolle. Wir passen die medikamentöse Therapie an und besprechen detaillierte Verhaltensregeln für die folgenden ein bis zwei Tage. Dazu gehören Empfehlungen zur körperlichen Schonung, zur Flüssigkeitszufuhr und zum Umgang mit möglichen Beschwerden. Unsere Patienten erhalten eine direkte Kontaktmöglichkeit für den Fall von Unsicherheiten oder Symptomen. Bereits am Folgetag bzw. nach wenigen Tagen findet ein weiterer Kontrolltermin statt, an dem wir das Ergebnis des Eingriffs überprüfen und die weitere Planung besprechen. Durch diese engmaschige und persönliche Betreuung stellen wir sicher, dass jeder Patient optimal begleitet wird – sicher, komfortabel und ambulant.
Achdorfer Weg 5
84036 Landshut
Telefon +49 (0)871 430300
Fax +49 (0)871 4303024